SURGICAL INDICATIONS FOR BONE STRESS INJURIES
Written by Bruno Olory, Qatar
26-Jan-2026
Category: Sports Surgery

Volume 15 | Targeted Topic - Bone Stress Injury | 2026
Volume 15 - Targeted Topic - Bone Stress Injury

– Written by Bruno Olory, Qatar

 

INTRODUCTION

The term bone stress injury (BSI) has become necessary to describe the continuum of symptoms associated with bone stress/ overload. But in a surgeon’s language, the term of “stress fracture” has remained. Not that surgeons are retrograde and closed to evolution, but simply because when surgery is necessary, we are faced with an incipient fracture, sometimes already constituted or even displaced. The key challenge for those treating BSI (nutritionist, sports doctor, podiatrist or physiotherapist) to act before it is too late, to avoid the need for surgery.

Fortunately, not all stress fractures warrant surgical management. Far from the exhaustive (radiological) classifications of Fredericson16 or Arendt1, the surgeon relies on a much simpler classification that separates stress fractures into “Low-risk fractures” and “High-risk fractures”16. The low-risk fractures (low risk of complications) occur at bone compression sites and are characterized by a more predictable evolution with a lower risk of non-union. The location on the compression site of bone stimulates the bone to increase cortical volume (which does not prevent the patient from complaining of pain, of course).

In contrast, high-risk fractures have a high risk of complication such as non-union and delayed healing. These 'high risk fractures' are located in areas of bone distraction (tension) which interferes with cortical continuity6,29 (Figure 1). High-risk stress fractures are essentially located in the lower limbs. Whilst 'low risk stress fractures' respond favorably to medical treatment involving partial discharge, modification of sports activities and pain killers followed by a phase of gradual return to sports once healing is achieved and causative factors have been corrected. High-risk fractures, require more aggressive management where surgical fixation can be indicated to prevent complications and allow a return to sport.

 

HIGH-RISK STRESS FRACTURES

Fracture of the femoral neck: 5% of all BSF. It occurs more frequently in young sportswomen, runners, and military recruits2,24. It can be influenced by certain risk factors such as rapid muscle mass loss combined with a high level of training, decreased femoral bone mass density, gluteus medius weakness, coxa valga, or femoro-acetabular impingement9,18,26,32.

Patients usually complain of hip, inguinal or proximal thigh pain. Pain may be provoked by a single leg hop.

X-rays are positive in only 15% of cases in the early stages, so MRI is the imaging of choice showing the fracture at the superior cortex (tension side) or inferior cortex (compression side) associated with bone marrow edema.

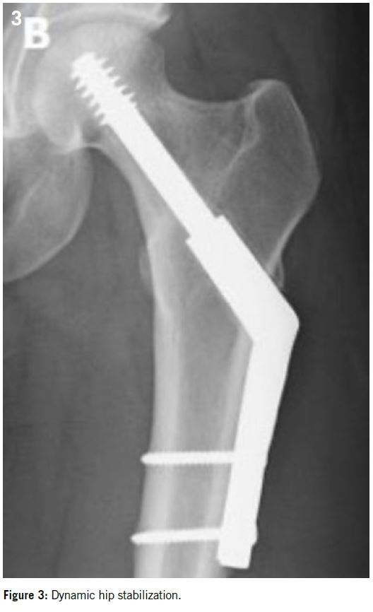
Superior cortex fractures are particularly at risk of displacement so simple fixation by percutaneous screwing can be considered. Generally, three 6.5 mm diameter cancellous screws are placed under fluoroscopic control. In more advanced cases or in heavier or overweight patients, a more sturdy fixation such as a dynamic hip screw may be proposed14 (Figures 2 and 3).

 

Patella stress fracture: 1% of all BSF20. It mainly occurs in young female athletes (3 women to 2 men). Risk factors are patellar malalignment and lateral tracking dysfunction21.

Clinically, patients present with anterior knee pain associated with sport, sometimes with an associated joint effusion. Patellar palpation is painful12.

XR sensitivity is low.  MRI is more specific and enables an accurate diagnosis and can identify any associated lesions (such as a cartilage lesion).

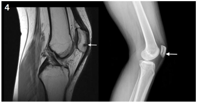
Treatment is not always surgical. Incomplete and non-displaced fractures may benefit from a 6-week period of immobilization without weight bearing. But if the fracture is displaced and in high demand patients, surgical fixation can be performed with two non-absorbable braided wire devices secured by a button at each end (such as Syndedsmosis TightRope or Invisknot ankle syndesmosis) with efficient stabilization while avoiding the disadvantages of metallic devices that will have to be removed. Return to sports activity can be expected at six months post-op6 (Figures 4 and 5).

 

Anterior tibial stress fracture: With the navicular fracture (which we will detail later) it is one of the most common high-risk BSF. It represents 5 to 15% of all BSF6,27. This kind of fracture is seen in athletes practicing repetitive jumps such as basketball and volleyball players and in military recruits6. Risk factors can be related to anatomy, particularly in patients with pes cavus, or in patients with small tibial cross-sectional dimensions. They can also be linked to biomechanical factors such as a limitation of foot pronation. Finally, extrinsic factors such as sport practice on hard or hilly surfaces or poor footwear quality can also influence the occurrence of this type of fracture3.

Clinically, patients complain of anterior mid tibial pain with focal tenderness. A single leg hop will provoke the pain37.

XR has low sensitivity initially and, again, MRI has better sensitivity, specificity and more precision. According to Fredericson’s rating, it even has a prognostic value17.

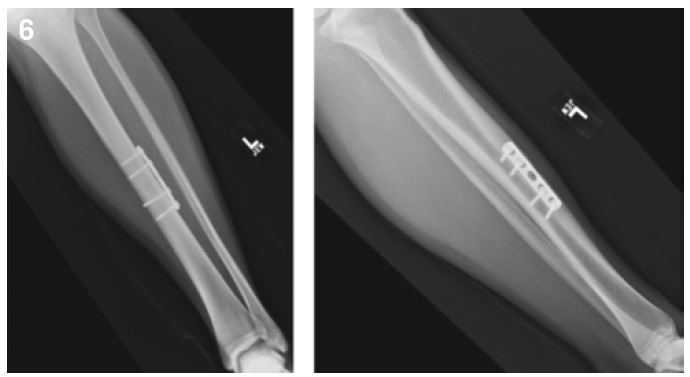
Considering the high rate of non-union, surgical management is widely recommended. It may be a simple compression plate on the convexity of the tibial at the level of the fracture site. For others, the placement of a centro-medullary nail will be necessary7,15,28 (Figures 6 and 7).

 

Medial malleolus fracture: 0.6 to 4.1% of all BSF. It is observed in high demand running and jumping athletes, especially athletics, basketball, and gymnastics. Risk factors include tibia varum, broad talar neck, excessive foot supination and the presence of anterior osteophytes creating impingement20,36.

Clinical manifestations include local swelling, medial malleolus focal tenderness but more frequently, focal tenderness located at the level of the tibial plafond25 (Figure 8)

Diagnosis is made using MRI, but surgeons prefer a CT scan for a better definition of the fracture line. This better visualization of the fracture line allows Percutaneous screwing using cannulated screws, in the case of a non-displaced fracture.

Surgery is indicated if the fracture is visible on X-ray. In the best-case scenario, return to sports can be expected at 6 weeks post-op19.

 

Talus fracture: this BSF is rare and generally located at the level of the head of the Talus and often associated with a damaged talar dome, navicular bone, or calcaneus29. Runners and gymnasts are the athletes the most at risk34,40.

Clinically, patients complain of a non-traumatic pain in the midfoot or sinus tarsi. Sometimes an effusion can be observed39.

X-rays are normal in the great majority of cases, whereas MRI allows diagnosis in more than 80% of cases (Figure 9).

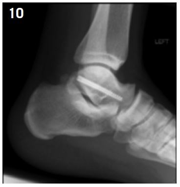
This fracture is rarely displaced, so its classification as a high-risk fracture is still controversial but due to the low vascularization of the talus, the significant risk of delayed union, and the high proportion patients unable to resume sport at the same level, for athletes surgical fixation is recommended even if the fracture is not displaced6,8,39 (Figure 10).

 

Navicular bone fracture: 14 to 25% of all BSF4,22. It is frequently observed among young athletes (men) practicing athletics (runners and more precisely sprinters), football players and basketball players28. Risk factors include pes cavus, a short first metatarsal, metatarsus adductus and patients with limited ankle dorsi-flexion (generally those with short posterior chains)23.

Pain is located at the level of midfoot or ankle dorsal surface, or sometimes patients describe medial plantar arch pain. Focal tenderness can be found, and single leg hop will provoke the pain31.

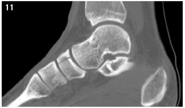
Diagnosis is made by MRI or CT scan (Figure 11).

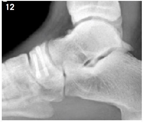
Screw fixation is recommended in athletes (Figure 12). Return to sports activity can be expected at 4 months post-op35.

 

Fifth metatarsal base fracture: 2% of all BSF. Only fractures located in zones 2 and 3 are high-risk stress fractures. They are very common among soccer players (and for this reason a separate article will be dedicated to them), we also observe them among basketball players and football players. Tibia varus, pes cavus varus and increased curvature of the fifth metatarsal are risk factors13,38.

Clinically, patients describe recent and acute pain after several weeks of lateral foot pain. Examination will find focal tenderness and sometimes swelling. The pain can also be provoked by foot inversion.

X-rays are frequently positive at the fracture stage, MRI allows early diagnosis of BSI. CT scan can help in monitoring a medically treated BSI41.

Fixation is with an intramedullary screw with diameter chosen based on the dimensions of the intramedullary cavity (4- or 5-mm screws). In some cases, synthesis by plate can be discussed. After surgical management, return to sport can be considered after 14 weeks10,28.

 

Sesamoid stress fracture of the big toe: This is a relatively uncommon stress fracture, and mainly affects the medial sesamoid. This fracture is frequent in ballet dancers, gymnasts, tennis players and all athletes engaged in a sporting activity with an overload in the forefoot11. Pes cavus, hallux valgus or hallux varus are risk factors33.

Patients complain of plantar pain located in the first metatarsophalangeal joint. Focal tenderness of the concerned sesamoid is observed. Provocation test involves performing dorsiflexion or plantar flexion against resistance.

The diagnosis is generally made with an MRI or a CT scan31 (Figure 13).

Treatment is medical, involving 6 to 8 weeks of non-weight bearing, followed using orthotics. Surgical treatment is the last option (after carrying out a local anesthetic test). It is generally a hemi-sesamoidectomy or a sesamoidectomy. Some authors propose a temporary arthrodesis by double pinning for a period of six to eight weeks. Return to a sport activity after a hemi-sesamoidetomy can be expected after three months5.

Athlete’s symptoms begin long before the development of a fracture line, this is why MRI is essential to make an early diagnosis of many BSI. But MRI is sometimes an issue for the surgeon (because of too much definition showing not only the fracture line but also bone edema). That’s why a complementary CT scan is often useful. However, as much as MRI is useful for the diagnosis of BSI, if performed when returning to sport MRI can be disturbing as there will often be persisting bone edema while the patient does not have any pain.

 

Bruno Olory MD

Orthopaedic Surgeon

 

Aspetar Orthopaedic and Sports Medicine Hospital

Doha, Qatar

 

Contact: bruno.olory@aspetar.com

 

References

1.              Arendt E & Griffiths H. The Use of MR Imaging in the Assessment and Clinical Management of Stress Reactions of Bone in High-Performance Athletes. Clin Sports Med. 1997;16(2):291-306.

2.             Armstrong DW, Rue JP, Wilckens JH, Frassica FJ. Stress fracture injury in young military men and women. Bone 2004;35: 806-816.

3.             Behrens SB, Deren ME, Matson A, Fadale PD, Monchik KO. Stress fractures of the pelvis and legs in athletes: A review. Sports Health 2013;5:165-174.

4.             Bennell KL, Malcolm SA, Thomas SA, Wark JD, Brukner PD. The incidence and distribution of stress fractures in competitive track and field athletes. A twelve-month prospective study. Am J Sports Med 1996;24:211-217.

5.             Bichara DA, Henn RF 3rd, Theodore GH. Sesamoidectomy for hallux sesamoid fractures. Foot Ankle Int 2012;33:704-706.

6.             Boden BP, Osbahr DC. High-risk stress fractures : evaluation and treatment. J Am Acad Orthop Surg 2000;8(6):344–353.

7.             Borens O, Sen MK, Huang RC, et al. Anterior tension band plating for anterior tibial stress fractures in high-performance female athletes: A report of 4 cases. J Orthop Trauma 2006;20:425-430.

8.             Bradshaw C, Khan K, Brukner P. Stress fracture of the body of the talus in athletes demonstrated with computer tomography. Clin J Sport Med 1996;6:48-51.

9.             Carpintero P, Leon F, Zafra M, Serrano-Trenas JA, Rom ́an M. Stress fractures of the femoral neck and coxa vara. Arch Orthop Trauma Surg 2003;123:273-277.

10.           Carreira DS, Sandilands SM. Radiographic factors and effect of fifth metatarsal Jones and diaphyseal stress fractures on partic- ipation in the NFL. Foot Ankle Int 2013;34:518-522.

11.            Dedmond BT, Cory JW, McBryde A Jr. The hallucal sesamoid complex. J Am Acad Orthop Surg 2006;14:745-753.

12.            Drabicki RR, Greer WJ, DeMeo PJ. Stress fractures around the knee. Clin Sports Med 2006;25:105-115.

13.            Ekstrand J, van Dijk CN. Fifth metatarsal fractures among male professional footballers: A potential career-ending disease. Br J Sports Med 2013;47:754-758.

14.            Evans JT, Guyver PM, Kassam AM, Hubble MJ. Displaced femoral neck stress fractures in Royal Marine recruitsd management and results of operative treatment. J R Nav Med Serv 2012;98:3-5.

15.            Fredericson M, Bergman AG, Hoffman KL, Dillingham MS. Tibial stress reaction in runners. Correlation of clinical symptoms and scintigraphy with a new magnetic resonance imaging grading system. Am J Sports Med 1995;23:472-481.

16.           Fredericson M, Jennings F, Beaulieu C, Matheson GO. Stress fractures in athletes. Top Magn Reson Imaging 2006;17: 309-325.

17.            Gaeta M, Minutoli F, Scribano E, et al. CT and MR imaging findings in athletes with early tibial stress injuries: Comparison with bone scintigraphy findings and emphasis on cortical abnormalities. Radiology 2005;235:553-561.

18.            Goldin M, Anderson CN, Fredericson M, Safran MR, Stevens KJ. Femoral neck stress fractures and imaging features of femo- roacetabular impingement. PM R 2015;7:584-592.

19.           Irion V, Miller TL, Kaeding CC. The treatment and outcomes of medial malleolar stress fractures: A systematic review of the literature. Sports Health 2014;6:527-530.

20.           Iwamoto J, Takeda T. Stress fractures in athletes: Review of 196 cases. J Orthop Sci 2003;8:273-278.

21.            Iwaya T, Takatori Y. Lateral longitudinal stress fracture of the patella: Report of three cases. J Pediatr Orthop 1985;5: 73-75.

22.           Khan KM, Brukner PD, Kearney C, Fuller PJ, Bradshaw CJ, Kiss ZS. Tarsal navicular stress fracture in athletes. Sports Med 1994;17: 65-76.

23.           Khan KM, Fuller PJ, Brukner PD, Kearney C, Burry HC. Outcome of conservative and surgical management of navicular stress frac- ture in athletes. Eighty-six cases proven with computerized to- mography. Am J Sports Med 1992;20:657-666.

24.           Kiuru MJ, Pihlajamaki HK, Ahovuo JA. Fatigue stress injuries of the pelvic bones and proximal femur: Evaluation with MR imaging. Eur Radiol 2003;13:605-611.

25.           Kor A, Saltzman AT, Wempe PD. Medial malleolar stress fractures. Literature review, diagnosis, and treatment. J Am Podiatr Med Assoc 2003;93:292-297.

26.           Lee CH, Huang GS, Chao KH, Jean JL, Wu SS. Surgical treatment of displaced stress fractures of the femoral neck in military recruits: A report of 42 cases. Arch Orthop Trauma Surg 2003;123: 527-533.

27.           Liimatainen E, Sarimo J, Hulkko A, Ranne J, Heikkil ̈a J, Orava S. Anterior mid-tibial stress fractures. Results of surgical treatment. Scand J Surg 2009;98:244-249.

28.           Mallee WH, Weel H, van Dijk CN, van Tulder MW, Kerkhoffs GM, Lin CW. Surgical versus conservative treatment for high-risk stress fractures of the lower leg (anterior tibial cortex, navicular and fifth metatarsal base): A systematic review. Br J Sports Med 2015; 49:370-376.

29.           McInnis KC, Ramey LN. High-Risk Stress Fractures: Diagnosis and Management. PM R. 2016 Mar;8(3 Suppl):S113-24. doi: 10.1016/j.pmrj.2015.09.019. PMID: 26972260.

30.           Pie ́tuG,HauetP.Stressfractureofthepatella.ActaOrthop Scand 1995;66:481-482.

31.            Potter HG, Pavlov H, Abrahams TG. The hallux sesamoids revis- ited. Skeletal Radiol 1992;21:437-444.

32.           Pouilles JM, Bernard J, Tremollie`res F, Louvet JP, Ribot C. Femoral bone density in young male adults with stress fractures. Bone 1989;10:105-108.

33.            Richardson EG. Hallucal sesamoid pain: causes and surgical treatment. J Am Acad Orthop Surg 1999;7:270-278.

34.           Rossi F, Dragoni S. Talar body fatigue stress fractures: Three cases observed in elite female gymnasts. Skeletal Radiol 2005;34: 389-394.

35.            Saxena A, Fullem B. Navicular stress fractures: A prospective study on athletes. Foot Ankle Int  2006;27:917-921.

36.           Sherbondy PS, Sebastianelli WJ. Stress fractures of the medial malleolus and distal fibula. Clin Sports Med 2006;25:129-137.

37.            Shin AY, Morin WD, Gorman JD, Jones SB, Lapinsky AS. The superiority of magnetic resonance imaging in differentiating the cause of hip pain in endurance athletes. Am J Sports Med 1996;24: 168-176.

38.           Shindle MK, Endo Y, Warren RF, et al. Stress fractures about the tibia, foot, and ankle. J Am Acad Orthop Surg 2012;20: 167-176.

39.           Sormaala MJ, Niva MH, Kiuru MJ, Mattila VM, Pihlajamaki HK. Bone stress injuries of the talus in military recruits. Bone 2006;39: 199-204.

40.           Stocker B, Bennett JT. Stress fracture of the talus following resection of a talocalcaneal coalition: A case report. Foot Ankle Int 2001;22:56-58.

41.            Thevendran G, Deol RS, Calder JD. Fifth metatarsal fractures in the athlete: Evidence for management. Foot Ankle Clin 2013;18: 237-254.

 

Header Image by filip bossuyt (Cropped)

 

 

Figure 4: Transversal patellar fracture: MRI and radiological image.
Figure 5: Transversal patellar fracture: Fixation by two Tight-Rope.
Figure 6: Mid shaft tibial stress fracture: osteosynthesis by plate.
Figure 7: Mid shaft tibial stress fracture: osteosynthesis by intramedullary nailling.
Figure 10: Talar body fracture fixation by simple screwing ( posterior apporach).
Figure 11: Navicular bone fracture visualized by CT Scan.
Figure 12: Navicular bone fracture fixed by double screwing.
Figure 13: Sesamoid bone stress fracture (CT SCan).

Share

Volume 15 | Targeted Topic - Bone Stress Injury | 2026
Volume 15 - Targeted Topic - Bone Stress Injury

Latest Issue

Download Volume 15 - Targeted Topic - Bone Stress Injury | 2026

Trending

Editorial
FROM OUR EDITOR
Editorial
FROM OUR GUEST EDITORS
Interview
VESELIN VUJOVIC
Al-Resalah
A MEMORY THAT WILL NEVER BE ERASED
Sports Medicine
BONE HEALTH IN ATHLETES

Categories

Member of
Organization members