MANAGEMENT OF PROXIMAL FIFTH METATARSAL DIAPHYSEAL STRESS FRACTURES IN ELITE ATHLETES
Written by Nebojsa Popovic, Qatar
25-Jan-2026
Category: Sports Surgery

Volume 15 | Targeted Topic - Bone Stress Injury | 2026
Volume 15 - Targeted Topic - Bone Stress Injury

A SURGICAL PERSPECTIVE

 

– Written by Nebojsa Popovic, Qatar

 

INTRODUCTION

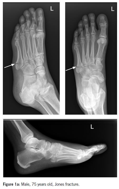
Fractures of the fifth metatarsal have attracted considerable attention since Sir Robert Jones injured his own foot while dancing around a tent pole at the military party in New Brighton in 18961. Since then, the literature has presented a wide range of often conflicting information regarding the classification, prognosis and treatment of these fractures2-5. Recently, proximal diaphyseal stress fractures of the fifth metatarsal have been increasingly reported in the athletic population11,12. These fractures account for approximately 10% of all sports injuries, with higher incidence in men than in women, and more frequently affecting the dominant leg. The incidence varies depending on the sport and the athlete's age. Due to their prevalence, complex healing process, and potential impact on performance, these injuries are a significant concern in sports medicine (Figure 1).

This review synthesizes recent findings from the literature and personal clinical experience, focusing on epidemiology, risk factors, pathophysiology, diagnostic approaches, classification systems, treatment strategies, and return to sports activities with particular emphasis on the elite athletes. Special attention is given to anatomical vulnerabilities, sport-specific risks, and surgical outcomes.

 

EPIDEMIOLOGY AND RISK FACTORS 

Metatarsal fractures are common injuries in the general population, with an annual incidence reported between 67 and 75.4 per 100,000 individuals. These fractures are generally more prevalent in females in the general population, but among athletes, they are more frequently observed in males. Notably, up to 70% of metatarsal fractures involve the fifth metatarsal.

Fractures of the fifth metatarsal account for approximately 10% of all sports-related injuries and 25% of all foot injuries, with a higher incidence in men than in women.

In sports, fifth metatarsal fractures can result from a variety of intrinsic and extrinsic factors, particularly in athletes participating in high-impact sports that involve sudden changes in direction and repetitive foot movements—such as soccer, basketball, handball, running, martial arts, and rugby.

Intrinsic factors include anatomical and physiological characteristics such as foot type, bone density, structural deformities, and angular deviations. Extrinsic factors are related to external conditions such as training load, surface type, footwear, and movement patterns. High-impact forces, directional changes, falls, and inappropriate footwear (e.g., soccer cleats) are common contributors.

Interestingly, metatarsal stress fractures are more frequently observed in the non-dominant or stance leg. Plantar loading data may help explain this phenomenon: significantly higher force, pressure, and relative loads are exerted on the lateral forefoot during a full-effort set-piece kick compared to sprinting or cutting maneuvers.

The anatomy and biomechanics of the fifth metatarsal may predispose athletes to fractures, especially those involved in running and cutting sports. Athletes with cavus, cavo-varus, or flat foot deformities are at increased risk. This is because a cavus foot is more rigid than a normal foot, while flat feet tend to load the lateral border of the foot during the late stance phase of gait. Both conditions can contribute to increased stress on the fifth metatarsal. In our series, 28 patients demonstrated pronounced cavo-varus or flat foot deformities during podoscopic examination.

Recent studies have highlighted the role of foot morphology—particularly varus or valgus alignment—in the development of fifth metatarsal fractures. For example, athletes with flat feet are at higher risk due to increased lateral foot loading. Foot type is a structural condition characterized by alterations in the plantar vault, which can affect plantar pressure distribution and serve as a risk factor for fifth metatarsal fractures.

Foot type can be assessed through morphological analysis. Athletes with varus hindfoot alignment, high arches, or longer metatarsals are at increased risk. Sports that involve rapid directional changes—such as football, basketball, and handball—demonstrate higher incidence rates of these injuries.

 

DIAGNOSTIC

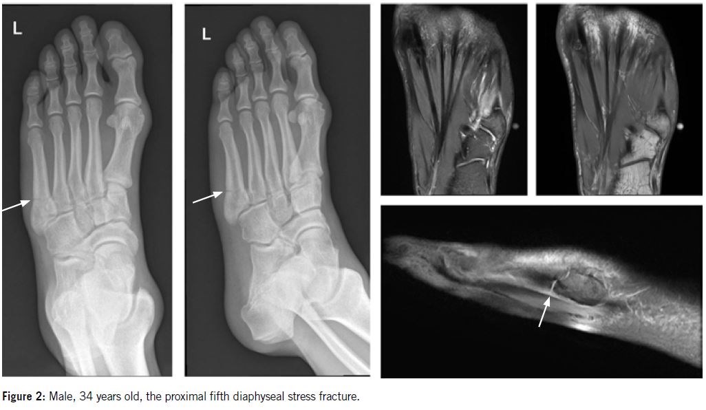
Proximal fifth metatarsal diaphyseal stress fracture present prodromal symptoms and typical radiograph features that differs from the clear radiolucent line in an acute fracture (Figure 2).

Prodromal symptoms at the lateral side of the foot are nearly always present. Pain and discomfort in proximal fifth metatarsal during sport activity suggest that this fracture could be a stress injury. Prodromal sign stage is effective in preventing stress fracture. Pain on the lateral side of proximal fifth metatarsal should lead to a reduction of tasks such as accelerated curved runs, crosses, corners and penalty kicks during training to decrease load at fifth metatarsal. Plantar loading data suggests that straight line running maybe continued using turf shoes as the medial loading of the foot is less demanding. That said, further studies are required to assess if loading intervention at the prodromal sign stage is effective in preventing progression to stress fracture.

 

RADIOGRAPH

Weight bearing anterior-posterior, lateral and oblique views of the foot need to be included in the radiological request. The initial stage may not show any changes on radiograph, but later stages, periosteal reaction and callus formation are apparent.

 

ULTRASOUND

Most professional football teams have direct access to ultrasound examinations. Ultrasound is sensitive, easily accessible and can identify early stress reactions. In case of a normal radiograph, it is advised to ask for an ultrasound to identify periosteal reaction and edema since the bony stress reaction generally commences dorsally.

 

MRI

MRI is especially helpful in the early stage in managing athletes at risk. It allows early recognition of bony edema before a fracture becomes evident and allows measures to be taken to prevent development of a frank stress fracture.

 

CLASSIFICATION  

Several classification systems are used to describe proximal fractures of the fifth metatarsal. Sir Robert Jones first described the “Jones fracture” in a small case series of four patients, including himself, as a fracture at the metadiaphyseal junction.

The Lawrence and Botte classification system (Figure 3) is commonly used and holds prognostic value based on fracture zone distributions. The proximal fifth metatarsal is divided into three zones:

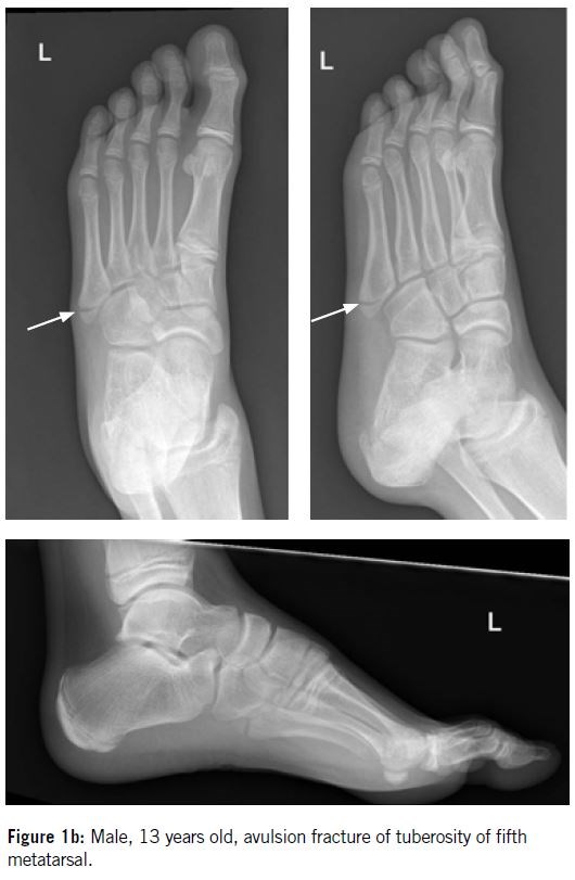
Zone l / tuberosity (Figure 4)

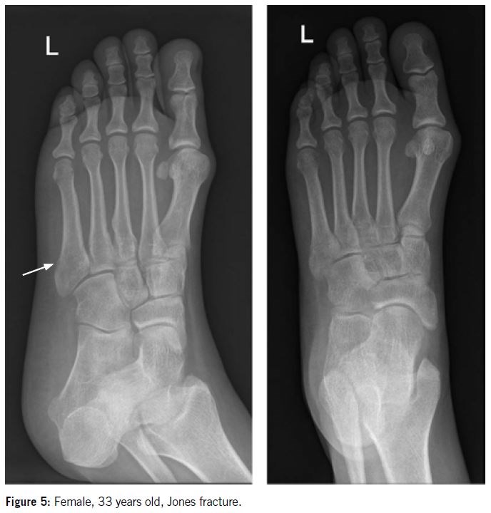
Zone II / metaphyseal - diaphyseal junction   (Figure 5)

Zone III / proximal diaphysis 

Fractures in zones II and III have poor vascularization and higher complications rate.

Finally, Torg et al.4,5 described a classification based on radiographic appearance as it pertains to practice acuity.

Torg classification is a radiographic system used to assess proximal fifth metatarsal diaphyseal stress fractures, particularly useful in guiding treatment decisions based on the degree of sclerosis and fracture characteristics seen on imaging. It categorizes fractures into three types:

  • Type I - Acute Fracture 
    • Fracture line: narrow with sharp margins. 
    • Cortical hypertrophy: Minimal
    • Intramedullary sclerosis: Absent
    • Medullary canal: Preserved
    • Healing potential: High (good prognosis)
  • Type II - Delayed Union 
    • Fracture line: Wider with adjacent radiolucency
    • Cortical involvement: Both cortices affected
    • Intramedullary sclerosis: Partial obliteration of the medullary canal 
    • Healing potential: Moderate (risk of delayed healing)
  • Type III - Nonunion 
    • Fracture line: Wider with periosteal new bone formation
    • Intramedullary sclerosis: Complete obliteration of the medullary canal  
    • Healing potential: Poor (high risk of nonunion)

This classification helps guide treatment decisions, especially in athletes or individuals with high physical demands. Type I fractures can be managed conservatively, while type II and III often require surgical intervention due to poor healing potential.

 

PATHOGENESIS 

The pathogenesis of proximal fifth metatarsal diaphyseal stress fractures in the athletic population remains controversial. They have been considered to be distraction fractures, which begin as microfractures and then progress to complete fractures. Repetitive cyclic loading, as produced by high-level athletic activities, appears to be the underlying mechanism of these injuries.

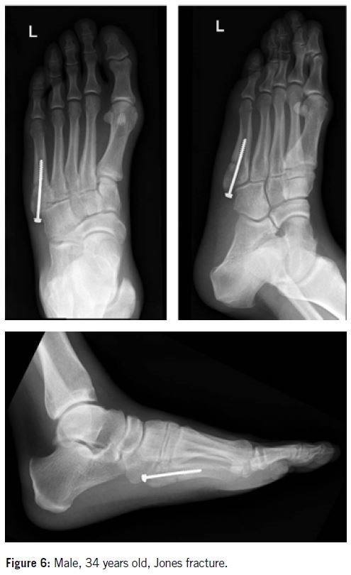
Beverly et al.6 showed that the lateral aspect of the forefoot was exposed to 78.6 N peak forces during normal weight bearing (Figure 6). The force leading to complete displacement of malleolar screws is on average 519 N, a much higher rate than the peak force experienced at the lateral aspect of the foot.

Pietropaoli et al.7 showed that the forces necessary to cause displacement of stabilized Jones fractures in their study are above the forces that should be transmitted within the lateral mid-foot during normal weight bearing. This suggests that the intramedullary fixation technique made no biomechanical difference in their study and is instead a matter of the surgeon's preference, as is the choice of screw (4.5 malleolar or 4.5 cannulated).

 

TREATMENT 

Due to the poor blood supply in the proximal metadiaphyseal region of the fifth metatarsal bone, these fractures can be challenging to treat8. This is especially true for athletes who aim for an early return to activity and competition. It is important to note that conservative treatment of these fractures often results in prolonged immobilization and a high risk of refracture.

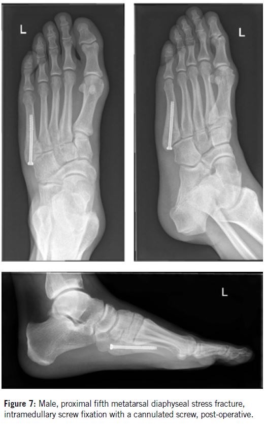
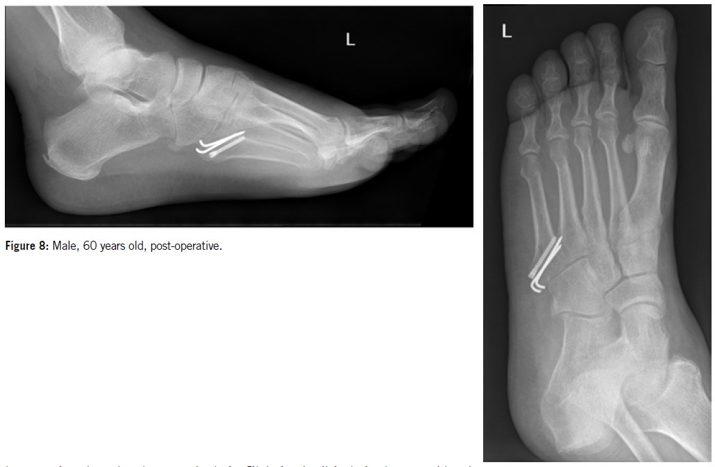
In 1975, Dameron2 was the first to suggest that athletes should undergo early operative treatment to prevent delayed union. Various surgical techniques have since been proposed, including intramedullary screw fixation, plating, percutaneous pinning, intramedullary curettage, and bone grafting (Figures 7 & 8). While the reported union rates with these methods are generally high, several complications have also been documented following their use.

Over the past 25 years, intramedullary screw fixation has emerged as the most widely used surgical technique for treating proximal fifth metatarsal diaphyseal fractures in athletes, with reports indicating improved union rates and faster recovery times. The partially threaded cannulated screw became the gold standard for operative treatment.

More recently, excellent bone healing outcomes have been reported with the use of headless compression screws. It is recommended to use the largest diameter screw that fits the width of the intramedullary canal, with a minimum diameter of 4 mm and a length of at least 50 mm. Proximally, the screw should be positioned to avoid irritation of the cuboid or the fourth/fifth intermetatarsal joint.

Due to the dorsal curvature of the proximal fifth metatarsal, proper care must be taken to ensure that the screw tip aligns as closely as possible with the bone’s axis. However, recent studies have reported several cases of failure following screw fixation in athletes9. The most frequently cited cause of delayed union and refracture is an early return to vigorous physical activity.

Challenges in Defining Safe Return to Sport and Emerging Techniques

It remains difficult to define an appropriate timeline for a safe return to sports activity based on the series published in the literature. As a result, some authors have explored new technical approaches aimed at improving healing outcomes and reducing the risk of refracture.

In a paper by Rosenberg10, it was noted that Hensen advocated a technique combining intramedullary screw fixation with the addition of a strain-relieving bone graft placed on the dorsomedial surface of the fifth metatarsal. However, the results of this technique had not been published at the time our study was released.

In 200512, we published our study detailing the operative treatment of 18 proximal fifth metatarsal stress fractures in 17 professional soccer players. Percutaneous intramedullary fixation using a 4.5 mm malleolar screw was performed in 11 athletes (Group I), while open intramedullary screw fixation combined with autologous cancellous bone grafting was used in the remaining seven (Group II).

Postoperative protocols were identical for both groups. A plaster shoe was applied for six weeks, with no weight-bearing permitted during the first three weeks. Starting in the fourth week, patients were allowed to bear weight with crutches as tolerated. Exercise and strengthening routines were initiated three days postoperatively.

 

CLINICAL AND RADIOLOGICAL OUTCOMES

Clinical and radiological union was achieved in all cases. The average time to return to full football practice was 12 weeks. Refractures occurred in three players from Group I at 4.5, 5.2, and 6.0 months after resuming play. These players underwent reoperation involving screw exchange, curettage of the fracture site, and autologous cancellous bone grafting.

Postoperatively, the three athletes were treated with a cast shoe for six weeks, followed by limited activity for another six weeks. They returned to full sports participation three months after the reintervention. At the 2.5-year follow-up, all three were symptom-free. No refractures were reported in Group II.

 

SURGICAL TECHNIQUE AND RECOMMENDATIONS

Based on our experience, we recommend intramedullary screw fixation combined with autologous cancellous bone grafting as the primary surgical treatment for high-level athletes. To date, we have treated approximately 60 athletes using this technique, including four with bilateral proximal fifth metatarsal fractures. None of these cases resulted in refracture.

Athletes were cleared to return to full sports activity once they were clinically asymptomatic and radiological evidence confirmed complete fracture consolidation.

 

FOOTWEAR CONSIDERATIONS AND BIOMECHANICS

When returning to sport, it is important to consider the increased impact forces, plantar pressure, and loading rates associated with running in football shoes compared to training in turf shoes on the same surface. Turf shoes with forefoot cushioning and multiple studs on the outsole are recommended for players resuming training after a fifth metatarsal stress fracture.

Subjective comfort and shoe fit are critical, particularly the width of the stud plate and the configuration of the studs on the outsole. This is to ensure that the athlete can return to sports activities in the best condition.

 

FOOT MORPHOLOGY AND INJURY RISK

In our published series, 14 athletes exhibited a pronounced cavovarus foot and 3 had flat feet on podoscopic examination. These anatomical features may have contributed to the development of proximal fifth metatarsal overuse injuries. Therefore, we recommend that such foot deformities be identified early, and that appropriate shoe modifications or orthotic interventions be implemented before resuming sports activities.

 

CONCLUSION

Based on our experience, we feel that intramedullary screw fixation associated with autologous cancellous bone grafting seems to be a reasonable primary treatment in high-level athletes. Most importantly, athletes after surgical treatment should not return to full sports activities too early, particularly not until there is radiographic evidence of solid bone fusion. Only then we recommend that high-level athletes return to their sports activities at an optimum performance level.

 

Nebojsa Popovic MD, PhD

Orthopaedics Surgeon

Editor-in-Chief of the Aspetar Sports Medicine Journal

Senior Medical Advisor

 

Aspetar Orthopaedic and Sports Medicine Hospital

Doha, Qatar

 

Contact: nebojsa.popovic@aspetar.com

 

References

  1. Peltier LF. Eponymic fractures: Robert Jones and Jones’s fracture. Surgery 1972;71:522-7.
  2. Dameron Jr TB. Fractures and anatomical variations of the proximal portion of the fifth metatarsal. J Bone Joint Surg 1975;57:788-92.
  3. Hens J, Martens M. Surgical treatment of Jones fractures. Arch Orthop Trauma Surg 1990;109:277-9.
  4. Torg JS, Balduini FC, Zelko RR, et al. Fractures at the base of the fifth metatarsal distal to the tuberosity. Classification and guidelines for non-surgical and surgical management. J Bone Joint Surg 1984;66:209-14.
  5. Zelko RR, Torg JS, Racham A. Proximal diaphyseal fractures of the fifth metatarsal: treatment of the fractures and their complications in athletes. Am J Sports Med 1979;7:95-101.
  6. Beverly MC, Horan FT, Hutton WC. Load cell analysis following siastic arthroplasty of the hallux. Int Orthop 1985;9:101-4.
  7. Pietropaoli MP, Wnorowski DC, Werner FW, et al. Intramedullary screw fixation of Jones fractures: a biomechanical study. Foot Ankle Int 1999;20:560-3.
  8. Smith JW, Arnoczky SP, Hersh A. The intraosseous blood supply of the fifth metatarsal: implications for proximal fracture healing. Foot Ankle 1992;13:143-52.
  9. Larson CM, Almekinders LC, Taft TN, et al. Intramedullary screw fixation of Jones fractures: analysis of failure. Am J Sports Med 2002;30:55-60.
  10. Rosenberg GA, Sferra JJ. Treatment strategies for acute fractures and nonunions of the proximal fifth metatarsal. J Am Acad Orthop Surg 2000;8:332-3.
  11. Ekstrand J, van Dijk CN. Fifth metatarsal fractures among male professional footballers: a potential career-ending disease. Br J Sports Med. 2013;47:754–758.
  12. Popovic N, Jalali A, Georis P, Gillet P. Proximal fifth metatarsal diaphyseal stress fracture in football players. Foot and Ankle Surgery 2005;11:135-41.

 

Header Image by Doha Stadium Plus Qatar (Cropped)


Share

Volume 15 | Targeted Topic - Bone Stress Injury | 2026
Volume 15 - Targeted Topic - Bone Stress Injury

Latest Issue

Download Volume 15 - Targeted Topic - Bone Stress Injury | 2026

Trending

Editorial
FROM OUR EDITOR
Editorial
FROM OUR GUEST EDITORS
Interview
VESELIN VUJOVIC
Al-Resalah
A MEMORY THAT WILL NEVER BE ERASED
Sports Medicine
BONE HEALTH IN ATHLETES

Categories

Member of
Organization members