IMAGING EVALUATION OF THE ATHLETIC SHOULDER
Written by Natalia Magero, Brazil, Marcelo Bordalo, Qatar
28-Sep-2025
Category: Sports Radiology

Volume 14 | Targeted Topic - The Athletic Shoulder | 2025
Volume 14 - Targeted Topic - The Athletic Shoulder

– Written by Natalia Magero, Brazil, Marcelo Bordalo, Qatar

 

INTRODUCTION

Shoulder injuries are common in the athletic population and may result from a single traumatic event or repeated microtraumas. Specific athletic and occupational activities are associated with predictable injury patterns¹.

This review explores the role of Magnetic Resonance Imaging (MRI), MR arthrography, and Computed Tomography (CT) in evaluating shoulder injuries. Key topics discussed include impingement syndromes, labral injuries, dislocations, pectoralis major tears, distal clavicle osteolysis, and radiographically occult fractures.

 

SHOULDER ANATOMY

The shoulder is the most flexible joint in the human body, owing to the synergistic action of four distinct articulations: the glenohumeral, acromioclavicular, sternoclavicular, and scapulothoracic joints. Despite its remarkable mobility, the glenohumeral joint is relatively unstable, making it susceptible to subluxation and dislocation.

The glenoid labrum is a fibrocartilaginous structure attached to the rim of the glenoid cavity. It enhances joint stability by deepening the socket and restricting anterior and posterior displacement of the humeral head.

The glenohumeral ligaments are fibrous reinforcements of the joint capsule and serve as the primary passive stabilizers of the shoulder. Classically, three ligaments are described: the superior, middle, and inferior glenohumeral ligaments.

The rotator cuff enables the shoulder’s range of motion and protects and stabilizes the glenohumeral joint. It includes the muscles and tendons of the supraspinatus, infraspinatus, subscapularis, and teres minor.

The long head of the biceps tendon originates primarily from the supraglenoid tuberosity and partially from the superior labrum, forming the bicipital anchor². The biceps pulley stabilizes the long head of the biceps within the bicipital groove and consists of the superior glenohumeral ligament, the coracohumeral ligament, and fibers of the subscapularis tendon. It is located within the rotator interval, between the anterior edge of the supraspinatus and the superior edge of the subscapularis³.

 

IMPINGEMENT

External Impingement

External impingement occurs when there is abnormal contact between the humeral head and surrounding osseous structures, such as the acromion or coracoid process.

Subacromial impingement is the most frequent type and is commonly associated with repetitive overhead activity.

Primary subacromial impingement may result from anatomical variants or pathological changes within the coracoacromial arch. Contributing factors include acromial morphology, persistent os acromiale, thickening of the coracoacromial ligament, anterior acromial spurs, and degenerative changes in the acromioclavicular joint. A low-lying acromion or a lateral or anterior downward slope of the acromion may further predispose patients to impingement4.

MRI findings range from subacromial/subdeltoid bursitis and supraspinatus tendinosis to partial and full-thickness tears of the supraspinatus tendon (Figure 1).

Primary subcoracoid impingement is a less common type of external impingement, seen infrequently in the young athletic population. It occurs when the subscapularis tendon is compressed between the coracoid process and the lesser tuberosity. Morphological factors such as an enlarged coracoid or decreased coracohumeral interval (<6 mm) are associated with this condition4.

MRI may demonstrate a reduced coracohumeral interval, an enlarged coracoid, subcoracoid bursitis, anterior subacromial/subdeltoid bursitis, subscapularis tendinosis, and partial or full-thickness subscapularis tears.

Secondary extrinsic impingement results from shoulder instability that causes dynamic narrowing of the coracoacromial outlet, particularly in overhead throwing athletes.

Unlike classic primary extrinsic impingement, the outlet may appear anatomically preserved on imaging. However, subtle instability due to chronic microtrauma and weakening of the anterior capsule compromises the static stabilizers of the shoulder.

This instability, when combined with overuse, leads to fatigue and overload of the dynamic stabilizers—primarily the rotator cuff. The outcome is excessive superior translation of the humeral head, resulting in dynamic impingement of the rotator cuff within the coracoacromial outlet4.

 

Internal Impingement

Internal impingement is categorized into two subtypes: posterosuperior and, less commonly, anterosuperior.

Posterosuperior impingement typically occurs in overhead athletes and results from repetitive tensile loading of the posterior shoulder capsule and the posterior band of the inferior glenohumeral ligament (IGHL). It is most evident during the late cocking phase of the throwing motion—just prior to forward arm acceleration.

Repetitive stress can lead to thickening and tightening of the posterior IGHL, altering normal shoulder mechanics and causing a posterosuperior shift of the humeral head when in the abducted and externally rotated (ABER) position¹. In this position, contact occurs between the undersurface of the rotator cuff and the posterior glenoid. Although this contact is physiological, when forceful and repetitive—as in overhead throwing—it may result in pathology.

MRI findings typically include articular-sided degeneration and tearing at the junction of the infraspinatus and supraspinatus tendons, in addition to degeneration or tearing of the posterosuperior glenoid labrum. Subcortical cysts and chondral lesions may also be present in the posterior glenoid or humeral head due to repetitive impaction (Figure 2).

Anterosuperior impingement occurs with repeated, forceful adduction and internal rotation above the horizontal plane, resulting in friction between the undersurface of the biceps pulley and the anterosuperior glenoid rim.

Disruption of the biceps pulley leads to instability of the long head of the biceps tendon, contributing to articular-surface tears of the subscapularis and supraspinatus tendons and medial subluxation of the biceps tendon. The resulting anterosuperior translation of the humeral head may lead to symptomatic impingement¹.

 

SLAP TEAR

The long head of the biceps tendon originates partially from and is continuous with the superior labrum. A superior labral tear that extends both anterior and posterior to the biceps anchor is termed a superior labrum anterior to posterior (SLAP) lesion4.

SLAP tears are a common cause of chronic shoulder pain and instability, particularly in athletes engaged in high-level, repetitive overhead activities or in individuals who have sustained a fall on an outstretched arm¹.

Several types of SLAP lesions have been described, initially classified into four subtypes by Snyder et al6 and later expanded to include additional variants. Although precise subtype classification on MRI can be challenging, the main objective is to identify the presence of a SLAP lesion, determine the extent of the labral tear, and assess for associated abnormalities involving the long head of the biceps tendon or the rotator cuff (Figure 3).

 

SHOULDER DISLOCATIONS

The shoulder is the most frequently dislocated joint in the human body, primarily due to its wide range of motion. Glenohumeral instability is commonly classified as anterior, posterior, or multidirectional.

Young athletes who engage in repetitive overhead activities—such as baseball pitching, cricket bowling, volleyball, swimming, and weightlifting—are particularly susceptible to glenohumeral instability.

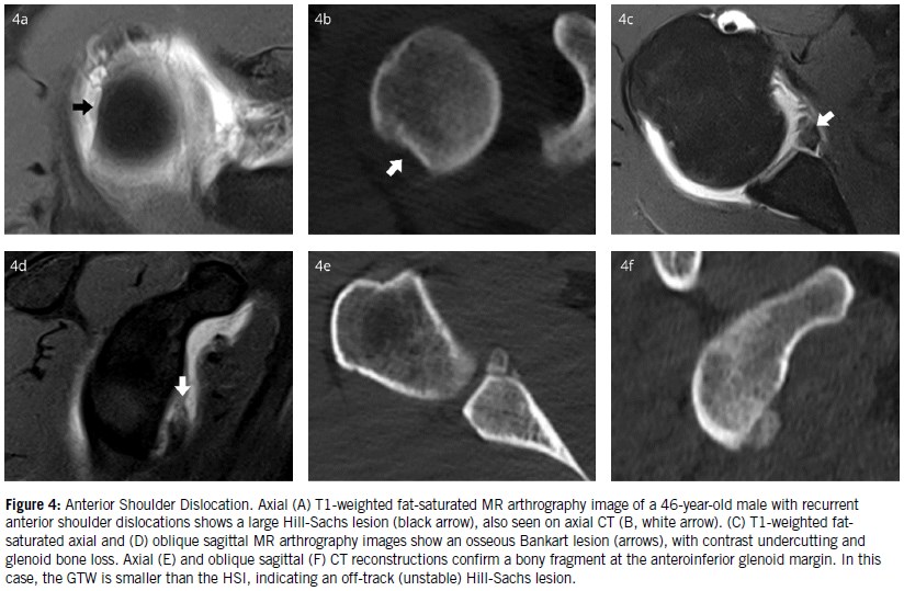
Over 95% of glenohumeral dislocations are anterior, with the humeral head typically displaced anteroinferiorly from the shallow glenoid cavity5. Many of these patients sustain a posterolateral humeral head impaction fracture, known as a Hill-Sachs lesion (HSL), or an anterior glenoid rim fracture. When both lesions are present, they are termed bipolar bone lesions, which may either contribute to or result from recurrent dislocations7.

Bankart lesions are the most common labral injuries associated with traumatic anterior instability. These typically involve detachment of the anteroinferior labrum and capsuloligamentous complex, with or without an associated glenoid rim fracture (Figure 4).

Several variants of the Bankart lesion exist (Figure 5):

  • GLAD (glenolabral articular disruption): a superficial anteroinferior labral tear associated with adjacent cartilage damage.
  • ALPSA (anterior labral periosteal sleeve avulsion): complete detachment with medial displacement and inferior rotation of the labrum. The periosteal stripping occurs, but there is no complete detachment.
  • Perthes lesion: an avulsion of the anteroinferior labrum with a medially stripped yet intact periosteum. This lesion is best visualized in the ABER position, which places stress on the anterior band of the IGHL and anteroinferior capsule.

The quantification of traumatic bipolar bone loss in anterior shoulder dislocations using high-resolution CT or MRI has led to the development of the glenoid track concept. This concept defines the glenoid track as the contact zone between the humeral head and the glenoid during shoulder motion from the neutral to ABER position and serves as a valuable tool for estimating the risk of recurrence following anterior shoulder dislocation. Two key parameters used to classify a HSL as on-track or off-track are the glenoid track width (GTW) and the Hill-Sachs interval (HSI). When the GTW is smaller than the HSI, the HSL is considered off-track and therefore unstable. Conversely, if the GTW exceeds the HSI, the lesion is considered on-track and more likely to be stable. This evaluation, combined with the measurement of glenoid bone loss, plays a critical role in guiding appropriate treatment strategies7.

Posterior instability accounts for approximately 2% of cases. It may result from macrotrauma (e.g., axial loading with shoulder flexion) or microtrauma (e.g., repetitive actions such as straight-arm pass blocking in football or bench pressing). Clinical presentation includes recurrent subluxation or, less commonly, a locked posterior dislocation.

Posterior instability can lead to detachment of the posteroinferior labrum, known as a reverse Bankart lesion. Additional variants include the posterior labrocapsular periosteal sleeve avulsion (POLPSA) and the reverse GLAD lesion8 (Figure 6).

 

DISTAL CLAVICLE OSTEOLYSIS

Distal clavicle osteolysis (DCO) is characterized by shoulder pain following either minor trauma or chronic repetitive stress. The latter is most frequently reported in young male weightlifters9. Other predisposing activities include American football, calisthenic workouts, rowing, gymnastics, and occupations involving repetitive pressing movements.

On MRI, the hallmark finding is bone marrow edema in the distal clavicle, often accompanied by soft tissue inflammation. These abnormalities may be detected even when conventional radiographs appear normal. In more advanced cases, MRI and X-ray may reveal cortical erosions, subchondral cysts, or thinning/loss of the subchondral bone plate (Figure 7).

A linear low-signal band paralleling the distal clavicular cortex may suggest a stress fracture. Additional imaging features may include joint effusion or mild synovitis in the acromioclavicular joint, along with edema in the joint capsule and periosteum of the distal clavicle. In some cases, marrow edema may also be observed in the anterior acromion, although the distal clavicle is usually more severely affected9,10.

 

PECTORALIS MAJOR TEARS

The incidence of trauma-related pectoralis major tears has increased significantly over the past two decades, with approximately 48% of cases attributed to bench press exercises¹¹. Other high-intensity activities associated with this injury include rugby, wrestling, jujitsu, gymnastics, and boxing. The tear typically occurs when the humerus is overloaded in an extended position, especially during the eccentric phase of the bench press.

The pectoralis major muscle consists of clavicular and sternal heads, with variable contribution from the costal fibers. The sternal head accounts for approximately 80% of the muscle volume and is more frequently involved in injuries. Both heads converge into a common U-shaped tendon that inserts on the lateral lip of the bicipital groove of the proximal humerus.

A thorough physical examination is essential for raising clinical suspicion and determining the appropriate MRI protocol. When pectoralis major injury is not suspected, routine shoulder MRI may be performed, potentially leading to misdiagnosis or incomplete characterization.

Pectoralis major injuries are typically graded as follows:

  • Grade I: Muscle strain, showing feathery fluid-sensitive intramuscular signal, indicative of edema and/or hemorrhage.
  • Grade II: Partial tear with associated intramuscular hematoma.
  • Grade III: Complete tear with possible tendon retraction.

Injuries can occur at several locations, including the muscle origin, muscle belly, musculotendinous junction, intratendinous region, humeral insertion, or as a bone avulsion at the humeral attachment. The humeral insertion (59%) and the musculotendinous junction (24%) are the most commonly affected sites¹¹ (Figure 8).

Muscle belly injuries, such as contusions or strains, are typically managed conservatively. In contrast, tears involving the musculotendinous junction, intratendinous region, or humeral insertion usually require surgical intervention, such as tendon repair with suture anchors or bone tunneling. Avulsion injuries at the humeral insertion may be better treated with primary fracture fixation, depending on the degree of bony involvement.

The Smoke Sign is a secondary imaging finding that suggests acute pectoralis major tendon injury on routine shoulder MRI. It appears as soft tissue edema resembling “smoke” lateral and anterior to the short head of the biceps/coracobrachialis complex (Figure 9). Although dedicated MRI of the pectoralis major is preferred for comprehensive assessment, recognition of the smoke sign should prompt careful evaluation of the tendon and consideration of dedicated imaging¹².

 

OCCULT FRACTURES

Radiographically occult and subtle fractures present a diagnostic challenge. Occult fractures are not visible on conventional radiographs, while subtle fractures may be easily overlooked on initial imaging. In both scenarios, when clinical suspicion of osseous injury remains high despite negative radiographs, advanced imaging—such as computed tomography (CT) or magnetic resonance imaging (MRI)—is often required to confirm or rule out the diagnosis. Early detection is crucial for explaining the patient’s symptoms and preventing further complications.

Occult and subtle fractures are commonly classified into three categories:

  • High-energy trauma fractures.
  • Fatigue fractures, caused by repetitive or unusual stress applied to otherwise normal bone.
  • Insufficiency fractures, which occur under normal or minimal stress in bones with decreased elastic resistance.

The term stress fracture broadly refers to both fatigue and insufficiency fractures.

CT is a highly valuable modality for detecting occult fractures. It clearly demonstrates subtle fracture lines, articular depression or distraction, and associated bone loss. In more advanced stages, it may also reveal findings such as increased medullary density, endosteal sclerosis, trabecular reorganization, and periosteal thickening.

While both CT and MRI can reach up to 100% specificity for diagnosing fractures, MRI has higher sensitivity. MRI can detect signs of occult fractures weeks before they become evident on radiographs. Typically, a linear hypointense line is seen on T1-weighted images. In addition, MRI is highly sensitive to marrow changes adjacent to the fracture line, which present as T1 hypointensity and hyperintensity on fluid-sensitive sequences. These signal changes are attributed to bone marrow edema, intraosseous hemorrhage, and/or granulation tissue and help to identify even undisplaced fractures.

Although both CT and MRI can achieve nearly 100% specificity in diagnosing fractures, MRI demonstrates superior sensitivity. MRI can detect signs of occult fractures weeks before they become apparent on radiographs. Typically, a linear hypointense line on T1-weighted images is observed. Adjacent bone marrow changes, including T1 hypointensity and hyperintensity on fluid-sensitive sequences, reflect bone marrow edema, intraosseous hemorrhage, and granulation tissue—key indicators even in non-displaced fractures.

Avulsion fractures, in which small bone fragments are pulled away by ligaments or tendons, may also be subtle. Tiny cortical fragments adjacent to ligament or tendon attachment sites are suggestive of this mechanism.

 

CONCLUSION

The shoulder is anatomically and functionally complex, and injuries in athletes can be highly variable, often leading to significant functional impairment.

A solid understanding of common injury patterns and their associations with specific sports is essential for avoiding misdiagnosis. Recognizing these imaging patterns not only improves diagnostic confidence but also plays a key role in guiding appropriate treatment strategies and optimizing patient outcomes.

 

Natalia Magero

Radiologist

Nova Diagnostic Clinic

Joao Pessoa, Brazil

Boris Berenstein Clinic

Recife, Brazil

 

Marcelo Bordalo MD, PhD

Radiologist

Chief of Radiology

Aspetar Orthopaedic and Sports Medicine Hospital

Doha, Qatar

 

 

Contact: marcelo.bordalo@aspetar.com

 

 

References

  1. Roy EA, Cheyne I, Andrews GT, Forster BB. Beyond the cuff: MR imaging of labroligamentous injuries in the athletic shoulder. Radiology. 2016;279(1):328. doi:10.1148/radiol.2016164008.
  2. Kadi R, Milants A, Shahabpour M. Shoulder anatomy and normal variants. J Belg Soc Radiol. 2017;101(Suppl 2):3:1–18. doi:10.5334/jbr-btr.1467.
  3. Nakata W, Goto H, Hamada J, et al. Biceps pulley: normal anatomy and associated lesions at MR arthrography. Radiographics. 2011;31(3):791–810. doi:10.1148/rg.313105507.
  4. Tirman PFJ, Smith ED, Stoller DW, Fritz RC. Shoulder imaging in athletes. Semin Musculoskelet Radiol. 2004;8(1):35–46.
  5. Goes PK, Flores DV, Damer A, Huang BK. Shoulder and elbow injuries in adult overhead throwers: imaging review. Radiographics. 2023;43(12):e230094.
  6. Snyder SJ, Karzel RP, Del Pizzo W, Ferkel RD, Friedman MJ. SLAP lesions of the shoulder. Arthroscopy. 1990;6(4):274–9. doi:10.1016/0749-8063(90)90056-j.
  7. Aydıngöz Ü, Yıldız AE, Huri G. Glenoid track assessment at imaging in anterior shoulder instability: rationale and step-by-step guide. Radiographics. 2023;43(8):e230030. doi:10.1148/rg.230030.
  8. Tannenbaum E, Sekiya JK. Evaluation and management of posterior shoulder instability. Sports Health. 2011;3(3):253–63. doi:10.1177/1941738111400562.
  9. Kassarjian A, Llopis E, Palmer WE. Distal clavicular osteolysis: MR evidence for subchondral fracture. Skeletal Radiol. 2007;36(1):17–22. doi:10.1007/s00256-006-0209-y.
  10. Roedl JB, Nevalainen M, Gonzalez FM, Dodson CC, Morrison WB, Zoga AC. Frequency, imaging findings, risk factors, and long-term sequelae of distal clavicular osteolysis in young patients. Skeletal Radiol. 2015;44(5):659–66. doi:10.1007/s00256-014-2092-2.
  11. Lee YK, Skalski MR, White EA, Tomasian A, Phan DD, Patel DB, et al. US and MR imaging of pectoralis major injuries. Radiographics. 2017;37(1):176–89. doi:10.1148/rg.2017160070.
  12. Petchprapa CN, Vaswani D, Garwood E, Samim M, Bencardino JT. The smoke sign: a secondary sign of unsuspected acute pectoralis major tendon injury on routine shoulder MRI. Skeletal Radiol. 2021;50(9):1873–80. doi:10.1007/s00256-021-03759-y.
  13. Jarraya M, Hayashi D, Roemer FW, Crema MD, Diaz L, Conlin J, et al. Radiographically occult and subtle fractures: a pictorial review. Radiol Res Pract. 2013;2013:370169. doi:10.1155/2013/370169.doi:10.1148/rg.230094.

 

Header Image by filip bossuyt (Cropped)


Share

Volume 14 | Targeted Topic - The Athletic Shoulder | 2025
Volume 14 - Targeted Topic - The Athletic Shoulder

Latest Issue

Download Volume 14 - Targeted Topic - The Athletic Shoulder | 2025

Trending

Editorial
FROM OUR EDITOR
Editorial
FROM OUR GUEST EDITORS
Interview
ADRIANA VILAGOŠ
Al-Resalah
THE FOOTBALL LEGEND
POSTCARD From
POSTCARD FROM LEIPZIG

Categories

Member of
Organization members